据外媒报道,日本九州再生医学特别委员会批准一项关于使用自体脂肪源间充质干细胞治疗新冠肺炎后遗症的方案。这项由韩国干细胞研究所开发的专利技术,经过各领域16名专家组成的委员会经过120天的审查,根据治疗和临床研究的具体科学证据进行3次筛选,通过了当前新冠肺炎后遗症再生医疗计划的审查,并已在日本正式试行。

自2022年12月26日,国家卫健委发布公告,新冠肺炎正式更名为新型冠状病毒感染,由此意味着3年全员防控新冠肺炎正式成为了历史。新型冠状病毒在全球范围内大规模传播,随着世界各地患者的增多,风险迅速增加,第三波大流行已经开始,有部分新冠病毒感染患者,即使经过治疗也会造成严重的后遗症。

据悉,美国哈佛公共卫生学院的科研工作者们,在观察了40000多名新冠感染者后,发现80%的人会在确诊4周后,至少出现一种后遗症。其中最为常见的有8种,如疲惫、头疼、注意力障碍、脱发、呼吸障碍、味觉缺乏、呼吸急促、咳嗽。世界卫生组织一直对新冠肺炎对人体造成的长期损害以及长期后遗症表示密切关注。新冠肺炎患者即使在康复后,体内仍然存在持续的炎症反应。这对新冠肺炎患者预后康复造成极大的影响。

新冠病毒不仅攻击肺部,是个【全能选手】
在许多人的认知中,新冠病毒是个呼吸系统病毒,主要攻击人体的肺部。但是研究已经发现,新冠病毒对人体的危害主要集中在肺部,但不仅是肺部,危重症患者是多个系统的损伤。
血管紧张素转换酶2(ACE2)是新冠病毒结合人体细胞的受体,ACE2在心脏和肺部高表达,病毒主要侵入肺泡上皮细胞,导致呼吸道症状,但是在有基础心血管疾病的患者感染后这些症状更加严重。另外,ACE2还参与心脏功能以及高血压和糖尿病的发展。

阳康之后小心病毒性【心肌炎】和【白肺】
“阳康”后可能会引发病毒性心肌炎和白肺引发热议。
心肌炎是指心肌局限性或弥漫性的急性或慢性炎症性病变,可导致恶性心律失常及心力衰竭,严重时还可引起猝死。感染新冠病毒确实有可能导致心肌炎,但其导致暴发性心肌炎的概率和严重程度还有待更多的研究来揭示,但是,大多数病毒性心肌炎患者能够自愈。
医生建议,心肌炎患者3个月内要注意休息,避免重体力劳动和剧烈运动,定期门诊随访,根据病情复查心电图、动态心电图、超声心动图等评估心脏结构和功能恢复情况。

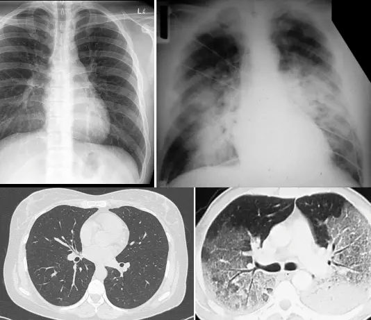
“白肺”是临床工作中的一个口语化描述,当患者肺部的炎症比较重,渗出液比较多时,肺部CT影像的白色区域达到75%以上,医务人员在临床上把它称为“白肺”。在感染新冠后,若出现咳嗽不断,胸闷气短,呼吸困难,可能是肺部出现炎症,需及时控制朝‘白肺’方向发展,日常可通过监测血氧饱和度来初步判断,若血氧饱和度小于93%,请立即前往医院进行进一步的检查。

间充质干细胞治疗新冠肺炎及其后遗症
今年以来国内外在干细胞治疗新冠肺炎及其后遗症领域相继有研究成果输出,间充质干细胞在细胞在细胞再生和减少体内炎症因子方面得到了有效的证实。发表于《Stem Cells and Development》文章指出,新冠肺炎临床重症患者间充质干细胞来源外泌体效果明显,康复率高达71%。外泌体具有安全性、修复氧合、降低细胞炎症因子、重建免疫系统功能等特点,是新冠肺炎非常有前途的候选药物。

此外,自2020年8月1日起,日本呼吸综合征学会一直在探索新冠肺炎的后遗症。9月,已接受新冠肺炎治疗但有后遗症的患者的脂肪细胞胚胎干细胞被收集。患者每2-4周接受3次静脉注射和2亿个干细胞。治疗发现肺功能、氧合指数、炎症水平、疼痛程度等不适均有所缓解。
新冠肺炎疫情爆发至今,科学家们众志成城,共同探寻有效的治疗方法,间充质干细胞已经成为了全球抗疫的“新武器”。
在联防联控新闻发布会上,国家科技部多次通报干细胞技术临床研究治疗,其可靠性和有效性得到证实,且有许多重型新冠肺炎患者根据干细胞技术进行后康复出院。干细胞能为新冠病毒感染的临床治疗提供更好的方案,提高治愈率、降低死亡率的新希望,从而能进一步帮助全球疫情的稳定控制。